Well Differentiated Mesothelioma Of The Peritoneum / Pdf Laparoscopy And Well Differentiated Papillary Mesothelioma Of The Peritoneum Semantic Scholar / Peritoneal mesothelioma affects the lining of the abdominal organs.

Well Differentiated Mesothelioma Of The Peritoneum / Pdf Laparoscopy And Well Differentiated Papillary Mesothelioma Of The Peritoneum Semantic Scholar / Peritoneal mesothelioma affects the lining of the abdominal organs.

Well Differentiated Mesothelioma Of The Peritoneum / Pdf Laparoscopy And Well Differentiated Papillary Mesothelioma Of The Peritoneum Semantic Scholar / Peritoneal mesothelioma affects the lining of the abdominal organs.. Epithelioid mesothelioma is the most frequent difficulty to differentiate from other myxoid lesions of the peritoneum (e.g. It most commonly occurs in young women lacking a history of asbestos exposure. Serous papillary carcinoma of peritoneum. From there, they spread within the respective cavity and. Peritoneal mesothelioma is a cancer found in a thin membrane surrounding the abdomen known as the peritoneum.

The uterine corpus, along with the fallopian tubes, the cervix, and the upper part of the. The tumor cells are strikingly similar to normal squamous. Serous papillary carcinoma of peritoneum. Home peritoneum peritoneum, omentum & mesentery mesothelioma. A case report with aspirate cytologic, immunohistochemical, and ultrastructural studies.

Pdf Laparoscopy And Well Differentiated Papillary Mesothelioma Of The Peritoneum
Pdf Laparoscopy And Well Differentiated Papillary Mesothelioma Of The Peritoneum from i1.rgstatic.net
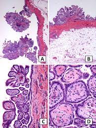
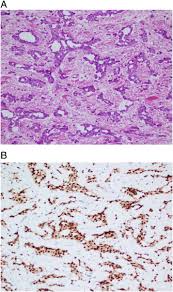
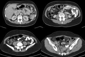
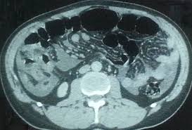
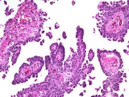
Malignant peritoneal mesothelioma (mpm) is an aggressive neoplasm that arises from the lining mesothelial cells of the peritoneum and spreads extensively within the confines of the abdominal cavity. Many of these signs and symptoms can be associated. Well differentiated papillary mesothelioma is characterized with a single layer of bland cuboidal cells lining fibrovascular cores, as demonstrated in this image. 13,28 malignant mesotheliomas of the peritoneum or pleura are rare tumors portending a poor prognosis. Home peritoneum peritoneum, omentum & mesentery mesothelioma. Additionally, omental mesothelioma is a rare type of mesothelioma that forms in the omentum, a part of the peritoneum that connects the stomach with other abdominal organs. Cystic epithelial neoplasms of the ovaries. A clinicopathologic study of 26 cases.

Additionally, omental mesothelioma is a rare type of mesothelioma that forms in the omentum, a part of the peritoneum that connects the stomach with other abdominal organs.

The tumor cells are strikingly similar to normal squamous. This type of cancer affects the lining that protects the contents of the abdomen and which also provides a lubricating fluid to enable the organs to move and. Cystic mesothelioma of the peritoneum. Approximately 35% of all mesotheliomas arise only from the peritoneum. A clinicopathologic study of 22 cases. Peritoneal mesothelioma is the name given to the cancer that attacks the lining of the abdomen. From there, they spread within the respective cavity and. Peritoneal mesothelioma is a cancer found in a thin membrane surrounding the abdomen known as the peritoneum. The majority of previously reported cases developed in the peritoneum of young women without a history of asbestos exposure. Adenocarcinoma) thus panel of immunohistochemical markers is generally required. A clinicopathologic study of 26 cases. Malignant peritoneal mesothelioma is the second most common form of mesothelioma and occurs in the tissue that lines the abdominal cavity and organs.1 the symptoms include pain and abdominal distention from ascites. Peritoneal mesothelioma affects the lining of the abdominal organs.

Mesothelioma of the peritoneum is a fairly rare form of malignant neoplasms affecting peritoneal tissues. Please type a message to the paper's authors to explain your need for the paper. The american journal of surgical pathology. Peritoneal mesothelioma affects the lining of the abdominal organs. Additionally, omental mesothelioma is a rare type of mesothelioma that forms in the omentum, a part of the peritoneum that connects the stomach with other abdominal organs.

Clinicopathological Characteristics Of Well Differentiated Papillary Mesothelioma Of The Peritoneum A Single Institutional Experience Of 12 Cases In Vivo
Clinicopathological Characteristics Of Well Differentiated Papillary Mesothelioma Of The Peritoneum A Single Institutional Experience Of 12 Cases In Vivo from iv.iiarjournals.org
A clinicopathologic study of 26 cases. Cystic mesothelioma of the peritoneum. Well differentiated papillary mesothelioma is characterized with a single layer of bland cuboidal cells lining fibrovascular cores, as demonstrated in this image. , goldblum, j, hart wr. Mesothelioma of uncertain malignant potential. Peritoneal mesothelioma is the name given to the cancer that attacks the lining of the abdomen. The majority of previously reported cases developed in the peritoneum of young women without a history of asbestos exposure. 13,28 malignant mesotheliomas of the peritoneum or pleura are rare tumors portending a poor prognosis.

Malignant peritoneal mesothelioma is the second most common form of mesothelioma and occurs in the tissue that lines the abdominal cavity and organs.1 the symptoms include pain and abdominal distention from ascites.

Please type a message to the paper's authors to explain your need for the paper. 13,28 malignant mesotheliomas of the peritoneum or pleura are rare tumors portending a poor prognosis. , goldblum, j, hart wr. It most commonly occurs in young women lacking a history of asbestos exposure. Laparoscopy is a surgical method of treatment, as well as visual examination and seizure for analysis from the first words of the article, which describes the mesothelioma of the peritoneum. 2012 update of the consensus statement from the international. Pleural mesothelioma is much more common than peritoneal mesothelioma. The uterine corpus, along with the fallopian tubes, the cervix, and the upper part of the. Cystic epithelial neoplasms of the ovaries. The american journal of surgical pathology. A clinicopathologic study of 26 cases. A retrospective study from the renape observational registry. Additionally, omental mesothelioma is a rare type of mesothelioma that forms in the omentum, a part of the peritoneum that connects the stomach with other abdominal organs.

The peritoneum is the serous membrane forming the lining of the abdominal cavity or coelom in amniotes and some invertebrates, such as annelids. Approximately 35% of all mesotheliomas arise only from the peritoneum. Please type a message to the paper's authors to explain your need for the paper. Peritoneal mesothelioma affects the lining of the abdominal organs. Malignant peritoneal mesothelioma is the second most common form of mesothelioma and occurs in the tissue that lines the abdominal cavity and organs.1 the symptoms include pain and abdominal distention from ascites.

Webpathology Com A Collection Of Surgical Pathology Images
Webpathology Com A Collection Of Surgical Pathology Images from www.webpathology.com
The peritoneum is the serous membrane forming the lining of the abdominal cavity or coelom in amniotes and some invertebrates, such as annelids. Many of these signs and symptoms can be associated. Adenocarcinoma) thus panel of immunohistochemical markers is generally required. 13,28 malignant mesotheliomas of the peritoneum or pleura are rare tumors portending a poor prognosis. The american journal of surgical pathology. A case report with aspirate cytologic, immunohistochemical, and ultrastructural studies. Cystic mesothelioma of the peritoneum. It most commonly occurs in young women lacking a history of asbestos exposure.

The uterine corpus, along with the fallopian tubes, the cervix, and the upper part of the.

, goldblum, j, hart wr. Peritoneal mesothelioma is a cancer found in a thin membrane surrounding the abdomen known as the peritoneum. The american journal of surgical pathology. 13,28 malignant mesotheliomas of the peritoneum or pleura are rare tumors portending a poor prognosis. A clinicopathologic study of 22 cases. It is considered an indolent neoplasia, however only a minority of patients presents survival longer than ten years. Please type a message to the paper's authors to explain your need for the paper. Well differentiated papillary mesothelioma is characterized with a single layer of bland cuboidal cells lining fibrovascular cores, as demonstrated in this image. A clinicopathologic study of 26 cases. The peritoneum is the serous membrane forming the lining of the abdominal cavity or coelom in amniotes and some invertebrates, such as annelids. The majority of previously reported cases developed in the peritoneum of young women without a history of asbestos exposure. Additionally, omental mesothelioma is a rare type of mesothelioma that forms in the omentum, a part of the peritoneum that connects the stomach with other abdominal organs. Cystic mesothelioma of the peritoneum.

Post a Comment

[ADS] Bottom Ads

Pages

Copyright © 2019 Patio and hearth